https://mobirise.com/

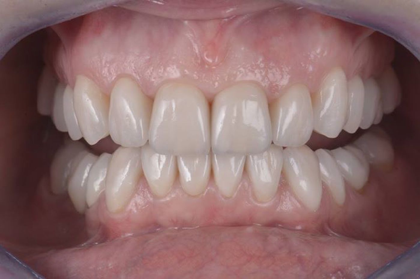
Zirconia Crowns and Bridges

Procera crowns have no metal substructure and are more lifelike than pre-existinging PFM’s. The strength of the zirconium oxide coping allows Procera crowns to be used with any conventional crown and bridge cement. Zirconia has a flexural strength and fracture toughness almost twice as high as that of alumina, which makes zirconia very resistant to masticatory forces, while maintaining an exact precision fit 

  • Thinner coping enables more flexible esthetic opportunities.
  • Combines zirconia extreme flexural strength, 1200 MPa, with a    beautiful esthetic result.
  • New unique coloring technique (no dipping involved) for optimal homogeneity – no color variations.
  •  Excellent bond strength between framework and veneering material.
  •  Conventional cementation or bonding techniques.
  •  No graying from metal oxides, no metal margins to hide.
  •  Computer aided design. 

Zirconia High Translucent Monolithic Crowns 


Restore natural teeth with the new Highly Translucent Multi-Layered

  • Consistent quality and fit
  • Natural looking aesthetics
  • High strength - 1100 MPA stronger than e.max®
  • Zirconia (HT ML) Full Contour Crown.

Available through NobelProcera®


IPS e.max® Lithium Disilicate

IPS e.max is a lithium disilicate glass ceramic that has optimized translucency, durability and strength for full anatomical restorations. Due to the use of new technologies and optimized processing parameters, IPS e.max lithium disilicate has evolved beyond previously available lithium disilicate ceramics.


IPS e.max lithium disilicate restorations exhibit superior durability featuring 360-400 MPa of flexural strength.The opalescence, translucency and light diffusion properties of IPS e.max lithium disilicate were all designed to replicate natural tooth structure for beauty and undetectable restorations.

ADDRESS
1 / 700 Burke road
Camberwell , Victoria
Australia

CONTACTS
Email: info@creativedentallabs.com
Phone:(03) 98821100
Fax: (03) 98826100

LINKS

  • Email us your clinical photos
  • SEND YOUR DIGITAL  STL FILES
  • WITH       WETRANSFER
  • JUST GO TO www.wetransfer.com
  • email us the link  for production.
Thank you for your inquiry we will contact you shortly